以自动化分离技术进行筛选,攻克天然药物成分提取难题
随着 21 世纪 “回归自然” 浪潮的兴起以及世界各地对药物毒副作用和耐药性的认知,在天然产物中寻找安全有效的药物这一课题已经引起国内外学者的高度重视,但如何在研发过程中实现这个目标? 今天就让我们一起探讨,并分享一下最新的解决方法。

天然产物因其成分的多样性及其作用机制的复杂性,致使天然活性成分的筛选一直是药物研究的瓶颈。再加上传统的实验室仍主要依靠人力操作,分离纯化过程费时费力、容易出现人为错误,且生产成本高、效率低,因此各大制药企业和科研机构日益重视实验设备的自动化与智能化,以攻克天然药物成分提取的难题。
全自动分离制备及薄层色谱系统
助力中药粗提物快速分离
随着天然产物与中药开发的快速发展,市场上对批量样品处理的需求日益提高,而传统的活性成分提取纯化方法除了费时费力,更会常常破坏活性成分的结构,影响实验效果,所以一些现代化、智能化的提取分离技术越来越显现出特有的优势,凭借这些技术进行高通量的活性成份筛选,有助加速研发。
以糙苏为例,块根糙苏 (Phlomis tuberosa L.) 作为中草药,在亚洲国家被广泛应用于糖尿病、胃溃疡等病症的治疗,其作用机制与酶活性抑制相关,筛选确定其活性成分是深入研究的重中之重。

早在 2015 年,上海中医药大学中药研究所的杨博士就以自动化技术实现对天然活性产物的快速分离,对 α-葡萄糖苷酶抑制活性实现快速筛查,并在 PLoS ONE 期刊发表了其研究成果[1][2]。研究当中通过 Sepiatec Sepbox 2D-2000 全自动分离制备系统对中草药粗提物进行快速分离,系统仅利用 20 小时的自动运转,便能快速得到150个馏分,大大加快了药效物质的发现进程,证明了自动化技术助力天然产物的快速分离及制备的成效。

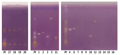
为了进一步寻找活性成分,更利用薄层色谱生物自显影活性筛查模型,实现了对这 150 个馏分的超快速筛查,其中 15 个馏分对比阳性对照具有明显的抑制活性。再经过细分纯化工作,最终得到 20 个活性化合物。从粗提物到得到活性单体,工作周期不超过 5 个工作日!

部分馏分 a-葡萄糖苷酶抑制活性筛查结果
出众的分离成效
归功于两大重要自动化技术
天然药物相对于其他药物,成份更复杂,而且研发过程中涉及较多提取、分离、纯化等前处理操作。以上案例当中用到的技术 – Sepiatec Sepbox 2D-2000 全自动分离制备系统,由力扬企业从德国引入的,能够实现高通量的活性成份筛选,快速获得可重复且可靠的分离效果,加速纯化过程,而且单次粗提物样品处理量多达 2g,单样品制备时间不超过 24 小时,还能在实验过程中减少有机溶剂的消耗,免去了人手和研发设备的大量投资,极大地节省了时间和金钱,降低了生产成本。

全自动分离制备系统
薄层色谱分析方面,力扬全新引进的全自动数字薄层色谱系统 CAMAG HPTLC PRO 也有助完成快速的活性筛选,系统能够在无人干预的情况下完成在线全流程 (“点样 – 展开 – 衍生 – 检测 – 分析 – 报告” 等) 的自动化薄层样品分析及评价,尤其适用于复杂成分样品的分离及检测,更攻克了薄层色谱的重现性难题,大幅度降低研发和检测实验室的人力和时间成本消耗。
通过全面的自动化能够高效地生产大量可靠数据,构建薄层色谱信息数据库,实现信息化和数字化管理,并建立实验室智能化的基础。在稳健而高效的实验设备辅助下,天然产物研究相信将迎来更进一步的发展。

参考文献:
[1] Baatar D, et al., Ethanol Extract of Phlomis Tuberosa L. Promotes Glucose Uptake in 3T3-L1 Preadipocytes via Insulin Signaling Pathway, The FASEB Journal, April 2017 31(9). doi: 10.1096/fj.1530-6860.
[2] Yingbo Y, et al., Identification of α-Glucosidase Inhibitors from Phlomis tuberosa, PLoS ONE 10(2), February 6, 2015. doi: 10.1371/journal.pone.0116922.