您正在喝的天然蜂蜜,是否掺了糖浆?
蜂蜜富含蛋白质、多种维生素、微量元素等营养成份,是天然绿色保健品,深受广大消费者的喜爱。
「清晨一杯蜂蜜水」早已成为许多人的日常习惯,但如果你饮用的是掺了糖浆的劣质蜂蜜,滋补佳品很可能成为你身体的 “甜蜜” 负担,增加高血压、糖尿病、脂肪肝、心脏病和中风等疾病的患病风险。
如何快速鉴别假蜂蜜,确保食用安全?生活中较为常见的方法有看颜色、看粘度、闻气味、尝味道等。这些方法是否起作用,在一定程度上依赖个人经验。
那么,食品安全检测中心又是通过什么科学手段去快速高效鉴别假蜂蜜,并验证您购买的高价麦卢卡蜂蜜真的来源于麦卢卡茶树呢?
单糖成分的定量检测
天然蜂蜜主要由单糖类的葡萄糖和果糖构成。因此,针对单糖成分的研究,有利于蜂蜜是否掺杂糖浆的鉴别。
单糖具有高极性、低挥发性、缺乏发色团以及它们在复杂基质中的普遍存在的特点,对它进行定量存在一定的挑战性。
我们采用的方法是 HPTLC (高效薄层色谱),它能以低运行成本对蜂蜜和其他复杂基质中的糖进行定量。
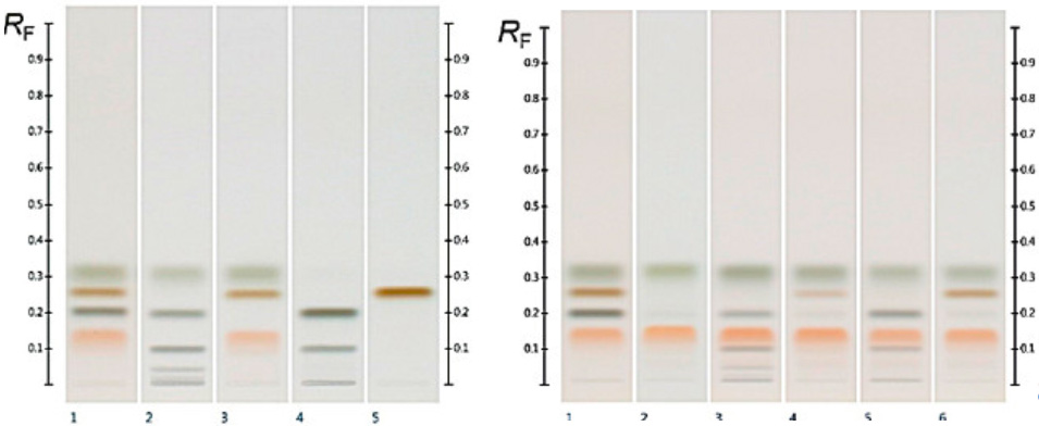
HPTLC 在简单的样品制备后分离单糖和寡糖,显色完成,在日光下即可灵敏地检测这些化合物 (如下图所示),无需额外检测器 (如其他检测方法常用的示差检测器),即可鉴定样本蜂蜜的成分是由葡萄糖和果糖构成,还是掺了其他糖浆。根据所用设备的自动化级别,可以提高获得定量结果的效率和可靠性。

1 标准品:葡萄糖、蔗糖、麦芽糖、果糖(自上而下)
2-5 糖浆:葡萄糖糖浆、黄金糖浆、玉米糖浆和枫糖糖浆
右图:
1 糖类标准品
2 麦卢卡蜂蜜
3 麦卢卡蜂蜜+葡萄糖糖浆;
4 麦卢卡蜂蜜+黄金糖浆;
5 麦卢卡蜂蜜+玉米糖浆;
6 麦卢卡蜂蜜+枫糖糖浆
样品制备:
50% 甲醇水溶超声溶解液溶解样品至 1mg/mL
检视:
苯胺-二苯胺-磷酸试剂,加热,日光下可见有色斑点
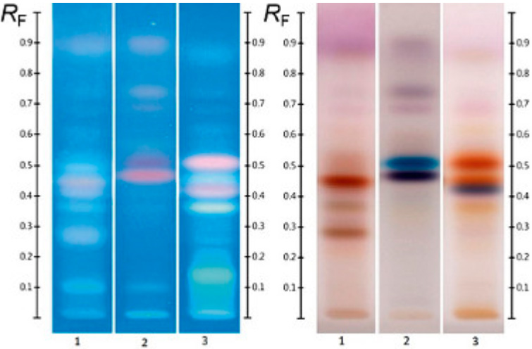
指纹图谱绘制,验证花蜜来源
您购买的高价麦卢卡蜂蜜真的来源于麦卢卡茶树吗?
通过 HPTLC 图谱,除了可对糖浆掺假蜂蜜进行快速鉴别,甚至还可以对蜂蜜来源进行特征指纹图谱的绘制,验证花源。
蜂蜜的植物化学成分主要取决于花蜜来源,地理来源和收获时间,此外,也可能受到加工和储存条件、采集花蜜的蜜蜂种类以及花蜜和蜂蜜接触的蜜蜂酶的影响。尽管存在这种复杂性,但来自同一花种的蜂蜜呈现出特征指纹图谱,依然可用于验证其花源。
如下图所示,我们可以看到红柳桉树蜂蜜、佛塔树蜂蜜、麦卢卡树蜂蜜的指纹图谱具有各自的特征。

展开时间:10 分钟,单板平行检测 14 个样品
检视:香草醛试剂,加热,366nm/白光下指纹特征图谱(Rf 0.05-0.6)
HPTLC-DPPH,快速评估抗氧化活性
相比于测量总抗氧化活性的传统分析,HPTLC-DPPH 法可以检测单个活性化合物并量化它们各自对整体抗氧化作用的贡献。
该分析方法执行起来既简单又快速,各化合物活性还可以量化为没食子酸等价物。

用于检测和量化蜂蜜中单糖的 HPTLC 方法易于执行,不仅可以量化蜂蜜中发现的主要糖,还可以识别糖浆中的潜在掺假,甚至通过 HPTLC 指纹图谱可鉴别蜂蜜的不同蜜源。
分析前无任何预处理步骤是 HPTLC 方法的主要优势,该方法也适用于其他植物和食品中单糖的直观分析方法。同时,HPTLC PRO 全自动薄层检测系统的应用,使单板总检测时间较传统流程节省约 30%,单样品检测时间仅约 7.5 分钟。
